Paediatric Hydrocephalus

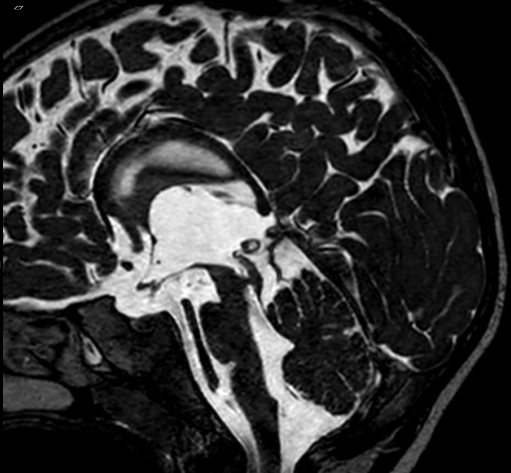
A sagittal T2-weighted MRI scan of a brain showing significantly enlarged, bright fluid-filled ventricles, characteristic of hydrocephalus.

What is hydrocephalus?

The brain and spinal cord are surrounded by fluid – cerebrospinal fluid (CSF). There are also fluid chambers within the brain called ventricles. CSF has multiple functions, among them protection and support, as well as nutrition and removal of waste molecules.

CSF is continuously produced and absorbed at an equilibrium, maintaining a stable amount of intracranial fluid, which circulates around the brain and spinal cord. If production and reabsorption of CSF is not balanced, or there is an obstruction interfering with CSF flow, any slight difference may result in a build-up of CSF in the external and/or internal fluid spaces (ventricles) of the brain. This condition is called hydrocephalus.

Why can hydrocephalus be dangerous?

The increased volume of fluid in the brain can be dangerous either by increasing the pressure inside the head, or by stretching the brain tissue causing it to malfunction.

What are the symptoms of hydrocephalus?

Hydrocephalus causing an increase in pressure generally causes headache but can also impair vision and cause a loss of consciousness. Sometimes the pressure can build up without an obvious increase in CSF volume.

 

Children with hydrocephalus may present different to adult patients. In babies with open sutures and fontanelles, the anterior fontanelle may bulge and feel tense and the cranial sutures may widen. Another typical sign of hydrocephalus in children is an up-gaze palsy with so-called sunsetting eyes, when children are not able to look up anymore. Lethargy, irritability, nausea and vomiting, as well as epileptic seizures may be a result of raised intracranial pressure and hydrocephalus.

What can be the causes of hydrocephalus

What can be the causes of hydrocephalus?

In very rare cases, the excess fluid results from an increase in fluid production, which is seen in certain tumours of the brain. Usually, the cause is obstruction of CSF circulation or impairment of CSF absorption back into the blood stream.

 

These conditions can result from tumours, head injury, bleeding into or around the brain, or blockage of the veins draining blood from the brain. Another common cause is aqueductal stenosis which is an obstruction or blockage of a CSF pathway/channel between the ventricles inside the brain. Sometimes the cause remains unknown.

How is hydrocephalus treated

How is hydrocephalus treated?

The best treatment for hydrocephalus is to treat the underlying cause. Unfortunately, this is not always possible. Medications can be used to reduce the production of CSF (e.g. acetazolamide), but the usual treatment is to change and optimize the circulation of CSF.

 

In some cases, this is achieved by opening new pathways or shortcuts for CSF to leave the ventricles. A common routine procedure to achieve this would be an endoscopic third ventriculostomy (ETV). In other cases, CSF is drained to other parts of the body to be reabsorbed, such as with a shunt from the brain to the abdomen, called ventriculo-peritoneal shunt (VP-shunt).

 

Please contact us if you require any further imformation or for booking a consultation with A/Prof Eibach via admin@mqneurosurgery.com or 02 9812 3900