Paediatric neurooncology, brain tumours and spinal lesions

Paediatric neuro-oncology is a medical subspecialty focused on the diagnosis, treatment, and management of tumours affecting the brain, spinal cord, and nerves of children, adolescents, and young adults. Central nervous system (CNS) tumours in children differ significantly from those found in adults. 
While leukemia is the most common childhood cancer, CNS tumours are the most common type of solid tumours in children and the leading cause of childhood cancer-related mortality. Management involves a multidisciplinary approach using advanced diagnostics, such as molecular characterization, and treatments like surgery, chemotherapy, and radiation therapy.
 
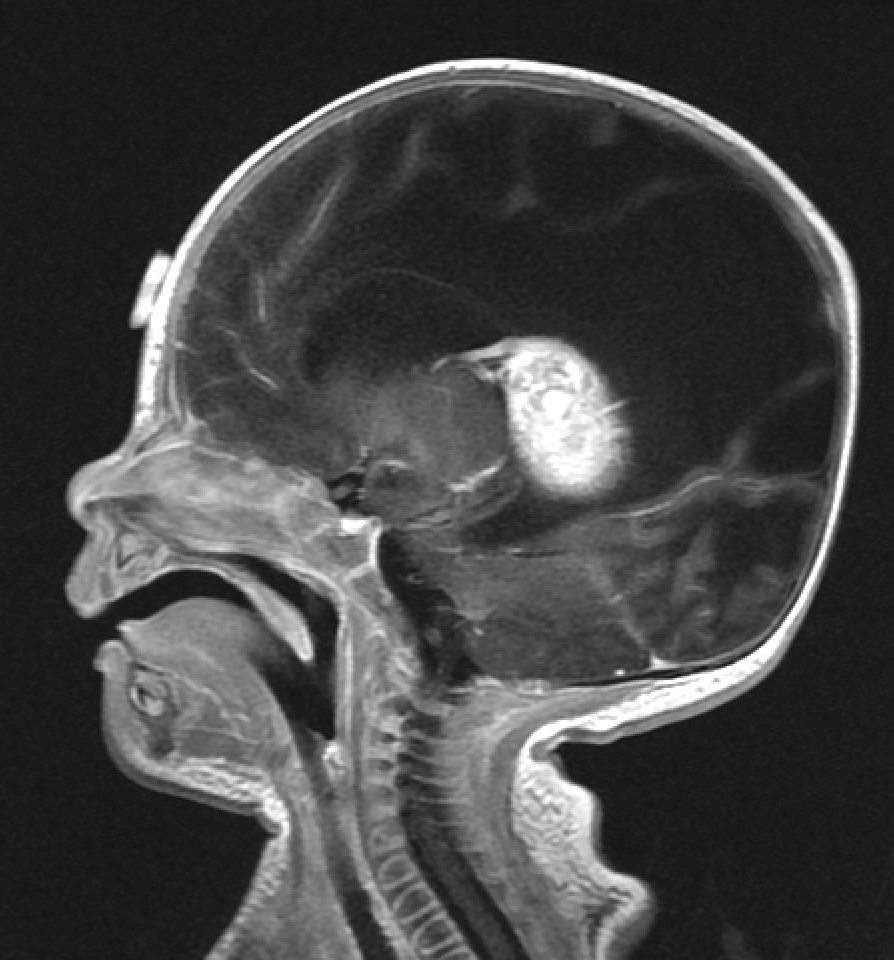
A sagittal MRI scan of a paediatric brain revealing a large, bright (enhancing) mass in the posterior region, typical of a brain tumour requiring neurosurgical consultation.

Common tumour types

Paediatric neurosurgeons treat a wide range of CNS tumours, including:

  • Astrocytomas: These tumours develop from star-shaped glial cells called astrocytes. The most common benign (non-cancerous) paediatric brain tumour is a pilocytic astrocytoma.
  • Medulloblastomas: The most common malignant paediatric brain tumour, medulloblastomas often arise in the cerebellum, the area of the brain responsible for coordination and balance.
  • Ependymomas: These tumours arise from ependymal cells, which line the ventricles of the brain and the central canal of the spinal cord. Therefore, they can occur in the brain and/or the spine.
  • Diffuse Midline Gliomas (DMG): This type of high-grade glioma, formerly known as Diffuse Intrinsic Pontine Glioma (DIPG), is a rare and aggressive tumour that grows in the midline of the brainstem.
  • Atypical Teratoid Rhabdoid Tumours (ATRT): An aggressive, fast-growing tumour that typically occurs in very young children.
  • Craniopharyngiomas: A tumour that grows near the pituitary gland.
  • Germ Cell Tumours: Tumours that can occur in the brain and spinal cord often affecting the pineal region. 

The multidisciplinary approach

A defining characteristic of paediatric neurooncology is its collaborative, team-based approach to care. A child’s treatment plan is developed by a team of experts that may include: 

 

  • Neurosurgeons: Perform surgery to remove as much of the tumour as possible. For some benign tumours, surgery may be the only treatment needed.
  • Paediatric neurooncologists: Are responsible for the medical treatment including chemotherapy but also targeted therapy. Oncologists often oversee the overall treatment plan and coordinate with other specialists.
  • Radiation oncologists: Administer radiation therapy using advanced techniques to target tumour cells.
  • Neuroradiologists: Use advanced imaging technologies to help diagnose and monitor tumours.
  • Neuropathologists: Analyse tumour tissue to provide a precise diagnosis.
  • Allied Health and Support staff: Provide emotional and developmental support through social workers, nurses, psychologists, and child-life specialists and are crucial on the journey of neurooncological treatment for children and their family.

Treatment

Several treatment modalities exist for brain tumours, and the best approach depends on factors like the tumour’s type, size, location, and the patient’s overall health. Often, a combination of treatments is used. 

 

Surgical treatments

  • Craniotomy: A craniotomy involves opening a section of the skull to access and remove as much tumour as safely possible.
  • Neuroendoscopy: This minimally invasive technique uses an endoscope to access tumours through a smaller opening.
  • Biopsy: When a tumour cannot be surgically removed, a stereotactic needle biopsy can be performed to collect a tissue sample for diagnosis using a needle guided by CT or MRI scans. 

Radiation therapies

  • Various types of radiation therapy exist for treating brain tumors, ranging from broad-field to highly focused techniques. These methods can be delivered externally or internally and are selected based on the tumor’s size, type and location. Newer forms, such as proton therapy or stereotactic radiation therapy, can more precisely target the tumour while minimising damage to surrounding healthy tissue.

Drug therapies

  • Chemotherapy: Uses drugs to kill or slow the growth of cancer cells and is often combined with surgery or radiation. Because of the blood-brain barrier, only certain types of chemotherapy drugs can effectively treat brain and spinal cord tumours.
  • Targeted therapy: Drugs that specifically target particular genetic or molecular abnormalities within cancer cells. These therapies generally cause fewer side effects than chemotherapy.
  • Immunotherapy: Uses the body’s immune system to recognize and attack cancer cells. While not yet standard for all primary brain tumours, it is being explored in clinical trials

Research and advancement

The field of paediatric neuro-oncology has seen significant advancements in recent years, driven by a deeper understanding of the biology of childhood CNS tumours. 

 

Targeted treatment: This involves using the molecular and genetic characteristics of a tumour to develop individualised treatment plans.

 

Collaborative Consortia: Organisations like the Pediatric Neuro-Oncology Consortium (PNOC) and the Children’s Oncology Group (COG) facilitate collaboration among institutions worldwide to accelerate research and develop new treatments.